• Passa al contenuto principale
  • Skip to after header navigation
  • Skip to site footer
Laser Milano : Centro Clinico Via Milano

Laser Milano : Centro Clinico Via Milano

Centro Laser Rho

  • Home
  • Chi siamo
  • Ambulatori
    • Angiologo
    • Cardiologo
    • Dermatologo
    • Ginecologa
    • Medicina Estetica
    • Otorino
    • Proctologo
    • Urologo
    • Ortopedico
    • Chirurgo estetico
    • Ecografia
  • Centro Laser
    • Estetica Laser
    • Dermatologia Laser
    • Laser Vascolare
    • Rimozione Tatuaggi Laser
    • Epilazione Laser
    • Monnalisa Touch™
    • Criolipolisi
  • Diagnostica
    • Esami di Laboratorio
    • Ecografia
    • Mappatura digitale dei nei
    • Radiologia
  • Odontoiatria
    • Ortodonzia
    • Implantologia
    • Conservativa e protesi
  • Gli Specialisti
  • Contatti

Ortodonzia

Ortodonzia

Studio del Caso Ortodontico
E’ il punto di partenza per impostare un percorso terapeutico. Prevede la presa delle impronte dentali, l’esecuzione di fotografie e del tracciato cefalometrico sulle radiografie del cranio, che possono essere effettuate direttamente all’interno del Centro, con attrezzature d’avanguardia a bassa emissione radiogena.

Ortodonzia

Approccio terapeutico personalizzato
A seconda delle differenti esigenze e delle richieste del singolo paziente, trattiamo bambini, adolescenti ed adulti con apparecchiature mobili o fisse, incontrando le richieste estetiche con attacchi in ceramica, mascherine invisibili e tecnica linguale.

Ortodonzia

Ricerca dell’equilibrio morfo-funzionale
Il nostro obiettivo è la ricerca della stabilità del risultato, che è possibile attraverso la correzione delle alterazioni funzionali, scheletriche e dentali, fino al raggiungimento dell’equilibrio morfo-funzionale.

Ortodonzia

Ortodonzia Fissa
Ortodonzia Mobile
Ortodonzia Invisibile
Certificati INVISALIGN


FOTOGALLERY ORTODONZIA

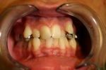
Caso 1: II classe II divisione con canino superiore destro e premolare inferiore sinistro inclusi, risolti con terapia fissa multibrackets

Ortodonzia

Caso 2: Paziente adulto: rispertura dello spazio per aggiunta dell’elemento mancante con implanto-protesi

Ortodonzia

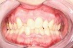
Affollamento risolto senza estrazioni

Ortodonzia
Ortodonzia

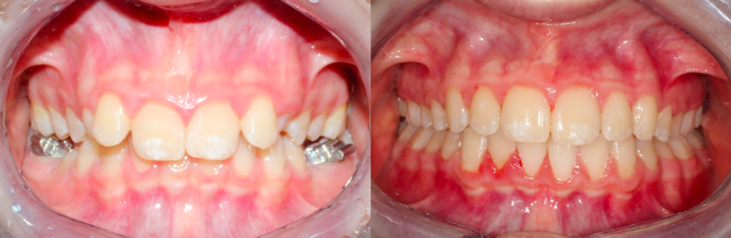
Affollamento risolto con estrazioni

Ortodonzia

III classe con affollamento in paziente adulto

Ortodonzia
Ortodonzia

Ci trovate in Via Milano, 8 – 20017 Rho MI

Contatti:

Tel: 02.9305755

Sede: Via Milano, 8 – 20017 Rho MI

Stimolazione muscolare magnetica Milano
Seguici
  • Facebook
  • Instagram
PRENOTA UNA VISITA
Leggi L’informativa privacy – Cookie Policy (UE) – Mappa del Sito
COPYRIGHT [c] 2024 by – Realizzazione siti internet – Solution Group Communication | Siti Roma
Chiama Ora
Whatsapp
Invia Email
Gestisci Consenso Cookie
Per fornire le migliori esperienze, utilizziamo tecnologie come i cookie per memorizzare e/o accedere alle informazioni del dispositivo. Il consenso a queste tecnologie ci permetterà di elaborare dati come il comportamento di navigazione o ID unici su questo sito. Non acconsentire o ritirare il consenso può influire negativamente su alcune caratteristiche e funzioni.
Funzionale Sempre attivo
L'archiviazione tecnica o l'accesso sono strettamente necessari al fine legittimo di consentire l'uso di un servizio specifico esplicitamente richiesto dall'abbonato o dall'utente, o al solo scopo di effettuare la trasmissione di una comunicazione su una rete di comunicazione elettronica.
Preferenze
L'archiviazione tecnica o l'accesso sono necessari per lo scopo legittimo di memorizzare le preferenze che non sono richieste dall'abbonato o dall'utente.
Statistiche
L'archiviazione tecnica o l'accesso che viene utilizzato esclusivamente per scopi statistici. L'archiviazione tecnica o l'accesso che viene utilizzato esclusivamente per scopi statistici anonimi. Senza un mandato di comparizione, una conformità volontaria da parte del vostro Fornitore di Servizi Internet, o ulteriori registrazioni da parte di terzi, le informazioni memorizzate o recuperate per questo scopo da sole non possono di solito essere utilizzate per l'identificazione.
Marketing
L'archiviazione tecnica o l'accesso sono necessari per creare profili di utenti per inviare pubblicità, o per tracciare l'utente su un sito web o su diversi siti web per scopi di marketing simili.
Gestisci opzioni Gestisci servizi Gestisci {vendor_count} fornitori Per saperne di più su questi scopi
Visualizza le preferenze
{title} {title} {title}